Skip to main content

Restaurativa


Restaurativa

restaurativa

restaurativa
Che cos’è l’odontoiatria restaurativa?
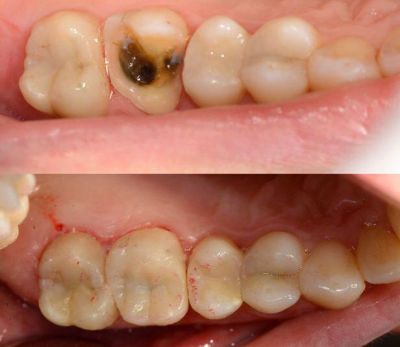
L’odontoiatria restaurativa, detta anche conservativa, è la branca dell’odontoiatria che si occupa del restauro del singolo dente danneggiato da carie o da traumi, attraverso otturazioni adesive (bonding), ricostruzioni o intarsi, in modo da ripristinare la normale funzione ed estetica dei denti. Sempre maggiore è inoltre il numero dei pazienti che desidera per motivi estetici sostituire le precedenti otturazioni in amalgama d’argento con otturazioni estetiche in resina composita

Quali sono i materiali che vengono utilizzati?
La moderna odontoiatria conservativa è basata sul concetto di minima invasività, grazie alle caratteristiche adesive dei materiali compositi, viene cioè rimosso il solo tessuto cariato, a differenza di quanto avviene con l’utilizzo dell’amalgama d’argento, che richiede una preparazione del dente ritentiva e pertanto una cavità più ampia con la rimozione anche di tessuto dentale sano. Se la quantità di sostanza dentale da ricostruire è notevole, e nei restauri dei denti devitalizzati, l’indicazione è per un intarsio, un restauro indiretto che viene realizzato in laboratorio e cementato successivamente sul dente preparato dal dentista.

In che modo viene realizzata una ricostruzione in composito?
Prima dell’otturazione vera e propria si procede a ripulire la cavità dal tessuto cariato. I tessuti del dente, smalto e dentina, verranno successivamente mordenzati con un acido particolare per migliorare la successiva adesione del composito. Una volta posizionato nella cavità del dente il composito viene utilizzata una luce speciale per indurire e cementare il materiale al dente stesso. Infine il restauro in composito viene modellato e lucidato per ricreare un aspetto pari allo smalto del dente naturale.
Come viene realizzata una ricostruzione con intarsio?
Inizialmente il dente viene preparato rimuovendone la parte danneggiata e modellato in maniera tale da poter alloggiare l’intarsio. Un'impronta del dente viene poi rilevata in modo da ottenere un modello sul quale viene costruito l’intarsio in laboratorio. Se necessario, tra una seduta e l’altra viene applicato un restauro provvisorio che sarà successivamente sostituito con l’intarsio definitivo cementato nella cavità preparata.